INTRODUCTION
Pheochromocytoma (PHEO) is an uncommon neuroendocrine tumor that originates from chromaffin cells located in the adrenal medulla. These neoplasms stand out for their capacity to produce, store, and secrete catecholamines, such as norepinephrine and epinephrine.1,2 PHEO is estimated to occur in 0.05% to 0.1% of hypertensive patients.2,3
According to its location, a PHEO can be adrenal in 80-90% of cases, while the remainder are extra-adrenal paragangliomas. The peak incidence occurs during the third and fifth decades of life. However, familial cases tend to present earlier and may be bilateral. About 10%–15% of these tumors are malignant, with paragangliomas exhibiting a greater propensity for malignancy than adrenal pheochromocytomas.4
The pathophysiology of this tumor entails dysregulated catecholamine production, essential for the body’s stress response. PHEO mainly secretes norepinephrine (NE), epinephrine (E), and, to a lesser extent, dopamine (DA). The unregulated release of catecholamines gives rise to symptoms such as hypertension, palpitations, headaches, and sweating. These symptoms may be paroxysmal or persistent, depending on the pattern of catecholamine release.1,5–7
The main features of pheochromocytoma are hypertension and other adrenergic features such as pallor, tremor, and anxiety.8 Other symptoms like fatigue, nausea, weight loss, and constipation may be less frequent.2
In this work, we describe a case where incidentally PHEO was diagnosed during the workup of a patient with right lumbar pain, an atypical presentation for this disease,9 and a history of treatment-resistant hypertension.
CASE DESCRIPTION
A 60-year-old Latin American male presented with a 2-year history of sharp, intermittent right lumbar pain. He described the pain as moderate to severe, occurring unpredictably and without clear exacerbating or relieving factors. Over the past few months, the pain has progressively worsened, prompting his visit to the emergency department.
The patient was diagnosed with hypertension 2 years ago, which has been poorly controlled despite treatment with Irbesartan 200 mg daily. His social history reveals heavy alcohol consumption since the age of 15, but he stopped drinking 10 years ago. He also has a history of cocaine use, which he discontinued 10 years ago. The patient has never smoked.
Upon admission, his blood pressure was 150/100 mmHg, and his heart rate was 84 bpm. During the physical examination, the only relevant findings were pain on palpation in the right flank and positive fist percussion on the right lumbar region. In addition, an electrocardiogram was performed that did not reflect any alterations.
Initial laboratory values on admission revealed a white blood cell count of 11,390 cells/µL (normal: 5,000 - 10,500 cells/µL), fasting plasma glucose of 120 mg/dL (normal: 74-106 mg/dL), and an HbA1C of 8%. In the workup for the patient’s poorly controlled hypertension, urine and thyroid function tests were performed, both returning normal results, indicating no underlying renal or thyroid dysfunction.
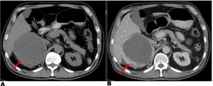
Given the patient’s clinical presentation, an abdominal ultrasound was conducted, revealing a suprarenal mass that warranted further investigation for potential adrenal involvement. Following the ultrasound, an abdominal CT scan was performed, showing a solid tumor that was rounded in shape, with lobulated edges and dimensions of 10cm in the right adrenal gland (Fig. 1).
To rule out pheochromocytoma and adrenal carcinoma, a magnetic resonance imaging (MRI) was suggested. Unfortunately, the patient could not proceed with the MRI due to a lack of financial resources. Instead, urinary catecholamines were assessed, yielding the following results: 24-hour norepinephrine 312 µg/24 hrs (normal: 15-100 µg/24 hrs), total epinephrine + norepinephrine 318 µg/24 hrs (normal: 26-121 µg/24 hrs), and dopamine 290 µg/24 hrs (normal: 52-480 µg/24 hrs).
Additional laboratory tests showed a plasmatic renin level of 7.8 ng/mL/hour (normal: 0.25-5.82 ng/mL/hour), plasmatic aldosterone of 2 ng/dL (normal: 3-28 ng/dL), and morning cortisol of 0.935 µg/dL (normal: 4.82-19.50 µg/dL).
Due to the absence of vanillylmandelic acid (VMA) testing in our country, we were unable to obtain VMA levels, which are often used in the diagnosis of pheochromocytoma. Instead, we relied on other diagnostic criteria, including plasma-free metanephrines and imaging studies, to confirm the diagnosis of pheochromocytoma. After adequate α-receptor blockade with terazosin and a β-adrenoceptor blocker (metoprolol), normotension was achieved.
Right adrenalectomy was performed via the transabdominal route. Once completely excised, a gross examination of the mass revealed a spherical solid mass measuring 10 cm (Fig. 2).
Histopathological examination of the excised mass revealed a proliferation of medium-sized cells arranged in a characteristic nested pattern (Zellballen). The cells exhibited moderately eosinophilic cytoplasm and pleomorphic, hyperchromatic nuclei with irregular borders, consistent with the diagnosis of pheochromocytoma (Figure 3).
The patient’s postoperative course was uneventful, with blood pressure well-controlled within normal parameters while on Irbesartan. His back pain resolved completely, and he was discharged on postoperative day 5.
DISCUSSION
Pheochromocytoma is a rare tumor marked by the excessive production of catecholamines, mostly in the forms of norepinephrine and epinephrine, which leads to numerous symptoms.7 It broadens the differential diagnosis list, especially for patients suffering from poorly controlled hypertension.7,10
Back pain is often reported as a symptom associated with incidentally identified pheochromocytomas. As Wachtel et al. showed, 39% of patients who had incidentally discovered pheochromocytomas had some nonspecific symptoms such as abdominal or back pain.9 Back pain, though atypical, can be expected when the tumor is sufficiently large to inflict local mass effects or engage surrounding structures, such as extra-adrenal paragangliomas situated in the abdomen or pelvis, which are capable of causing pain along with their anatomic position and nearby tissue compression.2,3 However, this presentation is relatively uncommon compared to classic adrenergic symptoms.
The patient exhibited a sizable catecholamine-secreting tumor, primarily generating norepinephrine, which likely provoked his poorly managed hypertension over the preceding two years. Interestingly, the patient’s sole complaint was nonspecific back pain, which is not typical in pheochromocytomas. The pain in this patient was most likely due to the size and mass effect of the tumor on surrounding structures. Following the resection of the mass, the blood pressure of the patient was controlled with Irbesartan, and his back pain disappeared entirely, further supporting the mass effect hypothesis.
CONCLUSIONS
This case underscores the importance of considering pheochromocytoma in patients with refractory hypertension concomitant with lumbar pain. Clinicians should be vigilant in exploring rare diagnoses in such cases, as early recognition and intervention can significantly improve patient outcomes.
_axial_computed_tomography_(ct)_scan_during_the_non-contrast_phase_demonstrates_a_s.jpg)

