Introduction
Cholecysto-Cutaneous Fistula (CCF) is a communication between the gallbladder and the skin that can be spontaneous, postoperative, or post-traumatic. Although CCF is very rare, it represents a challenging surgical condition.
We report a case of a spontaneous chronic CCF in a patient with a longstanding history of cholelithiasis, cholecystitis, and choledocholithiasis.
Case Description
A 78-year-old male patient with multiple comorbidities that included chronic obstructive pulmonary disease, hypertension, abdominal aortic aneurysm, coronary artery disease, alcohol abuse, perforated peptic duodenal ulcer (for which he underwent a Billroth II gastrojejunostomy 31 years prior that was complicated by a duodenal stump leak and intra-abdominal sepsis), and multiple surgeries for mesh repair of ventral incisional hernias.
He has a longstanding history (19 years) of cholelithiasis that has been complicated by acute cholecystitis (managed medically) 9 years prior and recurrent obstructive choledocholithiasis (9 years as well as 2 months prior) requiring endoscopic retrograde cholangiopancreatography (ERCP) with sphincterotomies and common bile duct stent placements. A cholecystectomy was not performed given concerns for high surgical risks due to patient’s extensive abdominal surgeries and his multiple comorbidities.
Four years prior, patient developed a CCF with abdominal wall abscesses in the right upper quadrant that underwent repeated incision and drainages. He has since experienced a persistence of the CCF with chronic right upper quadrant pain, biliary drainage managed with frequent dressing changes daily, and significant deterioration of his reported quality of life. Given high surgical risks, surgical treatment was not recommended, and the patient presented to our tertiary care center for an evaluation.
On physical examination of the abdomen patient had mild tenderness in right upper quadrant (RUQ), where an external CCF opening was visible. (Figure 1).
His chemistry, blood cell counts, liver function tests, and coagulation tests were all normal.
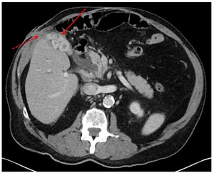
A computed tomography (CT) scan of the abdomen with intravenous contrast showed a gallbladder packed with stones and a CCF extending from the gallbladder fundus through the right abdominal wall. (Figure 2).
After the risk and benefits of a cholecystectomy versus a percutaneous cholecystostomy with stone extraction were discussed, patient wished to proceed with a cholecystectomy. Given multiple prior abdominal surgeries and a history of post-operative abdominal sepsis, a decision was made to perform an open cholecystectomy.
Exploration of the abdomen through a right upper quadrant incision revealed significant intra-abdominal adhesions that were carefully lysed. We then separated the cholecysto-cutaneous fistula at the fundus of a chronically inflamed and contracted gallbladder (Figure 3A) and removed multiple gallstones (Figure 3B). The gallbladder was then fully removed. We then performed an en-bloc resection of a 3.5-cm fistula tract that involved the liver, rectus muscle fibers, subcutaneous adipose tissue, and skin (Figure 4).
A closed suction drain was then placed with its tip in the gallbladder fossa.
Subsequently, the patient had an uneventful recovery: the drain was removed, and he was discharged to home on the second post-operative day and had no complications during post-operative follow-up visits.
Discussion
First described in 1670 by Thilesus, CCF fistula was a common complication before the advances of surgical and pharmaceutical interventions for cholelithiasis.1 Upon a literature review in the PubMed database, there have only been 88 published cases of CCF formations since 1979. Although a rare complication, CCF affects elderly female patients more than male patients. This is likely due to the increased incidence of cholelithiasis and cholecystitis in women.2
Spontaneous CCFs are often caused by neglected calculous cholecystitis. However, it can also be caused by acalculous cholecystitis or gallbladder cancers. In this case, the patient presented with a complex history of cholelithiasis and obstructive choledocholithiasis which requiring ERCP interventions. Obstruction of biliary flow in the gallbladder and common bile duct can lead to an increase in intra-gallbladder pressure, and if left untreated, can result in perforation of the gallbladder. This perforation may lead to the formation of a pericholecystic abscess, which can adhere to the abdominal wall. Thus, developing into an external fistula connecting cutaneous tissue to the gallbladder.3
Conditions that increase the risk in developing a CCF include cholelithiasis, obstructive choledocholithiasis, and acute cholecystitis. With CCF formation being possible in acalculous cholecystitis and gallbladder carcinoma, the most common cause of CCF formation is gallstones.4 In a previously documented case, a percutaneous cholecystostomy drain without subsequent cholecystectomy led to the formation of a fistula.1 The presence of a drainage tube from the gallbladder to the skin provides a path for the fistula to form. Patients with a history of subtotal cholecystectomy also have a higher risk of developing a CCF. The reconstituted gallbladder carries the risk of recurrent cholelithiasis, which may lead to forming a CCF.5 The patient in this case was at a high risk of developing CCF based on his history of biliary conditions.
Patients with a CCF typically present with RUQ pain, swelling, and erythema.2,5 Patients may also present with a mass in the abdominal wall, or in rare cases, the anterior chest wall.5,6 This mass can potentially be accompanied by secretion of biliary discharge from the fistula tract if there is an external opening present, which the patient presented with in this case. There have also been a few documented cases of gallstones ejecting from the fistula tract formed by a previous percutaneous cholecystostomy.7,8 The patient in this case had no systemic symptoms, but CCF can also present as jaundice, fever, nausea, and vomiting.2
Imaging studies such as CT scans, magnetic resonance imaging, ultrasonography, and fistulograms have all been documented as methods of diagnosing CCFs.2 An abdominal CT scan, which was performed in this case, is the most common method of diagnosing CCFs.4–9 When an external opening is present, a fistulogram may be performed to confirm communication between the skin and the gallbladder. However, most cases are diagnosed using only an abdominal CT scan alongside a physical exam.2
Treatment for CCF depends on the risk for surgical complications and medical history of the patient. Patients at a higher risk for surgical complications may require a conservative approach to treatment. This includes treatment of infection with antibiotics, drainage of abscess, and ERCP. This approach is generally used for elderly patients who may not be able to tolerate surgery. However, these interventions are still used before surgical treatment when patients present with an abscess and infection. Some patients presenting with an abscess and infection may need to have the abscess drained and antibiotic treatment prior to surgical intervention.6 Surgical treatment is the most common approach for treating patients with a CCF.2 Patients often undergo an open cholecystectomy, but there have also been recorded cases of laparoscopic intervention in the case of a CCF.10,11 If there is a concern for potential biliary leak post-cholecystectomy, a subhepatic drain may be placed to prevent bile from leaking into the peritoneum. Conservative management of a CCF has provided relief from severe symptoms, but the associated risk of recurrent complications from the gallstones remaining in the gallbladder persist.5 Surgical treatment is the most definitive method for both removing the fistula tract as well as preventing recurrent complications from cholelithiasis.2
Conclusions
Spontaneous CCFs are a rare occurrence because of the advancements in surgical interventions for obstructive biliary diseases. However, patients that may have contraindications to surgery are at a higher risk of eventually developing a CCF. Unfortunately, the only definitive method of treating a CCF is a total cholecystostomy with removal of the fistula tract. Conservatively managing symptoms of the CCF can be tedious and can lead to a worsened quality of life for the patient. Therefore, an early and definitive intervention of obstructive biliary stones can reduce the risk of spontaneous CCF formation.
_in_the_right_upper_quadrant_of_the_abdomen.jpg)
_a.jpg)
._b._multiple_ga.jpeg)
__rectus_muscle_fibers_(b)__subcutaneous_adipose_tiss.jpeg)